科研试剂

Scientific Research Reagents

结直肠癌类器官培养试剂盒

Colorectal Cancer Organoid Culture Kit
  • 品牌

    D1Med

  • 货号

    K211M01/K211L01

  • 规格

    100ml/500ml

此培养基可以用于人结直肠癌癌症类器官的建立与维持。

产品简介

  • 肿瘤类器官作为新的肿瘤体外疾病模型,保留了来源肿瘤的特征。
  • 结直肠癌类器官培养试剂盒,为类器官的复苏 、 培养及冻存提供了经过优化的、高效并稳定的整体解决方案 ,同时保持肿瘤的异质性。
  • 使用结直肠癌类器官培养试剂盒建立的类器官,可用于多种应用场景,包括肿瘤疾病建模、药效评估,毒性评价等。
  • 如果需要正常的肠道类器官,请使用人结直肠类器官扩增试剂盒。
  • 如需具有正常功能人肠道类器官,请使用人结直肠类器官分化试剂盒。

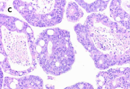
数据展示

图1.肠癌类器官模型。

a.肠癌原发灶类器官明场; b.肠癌肝转移类器官明场; c.肠癌类器官HE染色